Dán sứ Veneer là lựa chọn hàng đầu của khách hàng đến thời điểm hiện tại. Vậy vì sao dán sứ Veneer lại là sự ưu tiên của khách hàng?

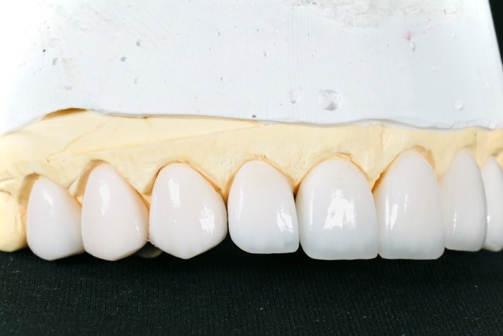
Veneer răng là lớp vỏ mỏng, độ dày 0,3 – 0,5mm được làm theo yêu cầu với màu trùng với màu răng. Veneer răng được thiết kế để bao phủ bề mặt phía trước để cải thiện vẻ ngoài và nụ cười tự tin của khách hàng. Những lớp vỏ veneer giúp răng thay đổi màu sắc, hình dạng, kích thước hoặc chiều dài của chúng. Mặt dán veneer là một phương pháp thẩm mỹ nha khoa đang ngày càng được áp dụng rộng rãi.
- Veneer thường được sử dụng để điều trị trong các trường hợp thẩm mỹ khác nhau:
- Răng bị mòn cạnh.
- Răng bị nứt, bể, mẻ nhẹ do chấn thương.
- Răng mọc thưa, có khe hở giữa các răng.
- Răng lệch nhẹ, phát triển không đều và hình dạng bất thường.
- Răng ố màu do dùng kháng sinh, hút thuốc… hoặc tẩy trắng răng nhưng không có tác dụng.
- Vết trám nhựa lớn.
![]() |
![]() |
Vì sao nên chọn mặt dán sứ để thay đổi nụ cười của bạn?
- Độ thẩm mỹ cao: Phương pháp dán răng sứ làm thay đổi hình dáng, màu sắc, kích thước của răng, giúp răng đều và đẹp hơn. Bên cạnh đó, màu sắc của sứ veneer khá tự nhiên nên sẽ giúp bạn cảm thấy tự tin hơn khi mỉm cười.
- Độ bền cao: Dán sứ veneer có bền không là thắc mắc khá phổ biến. mặt dán veneer có tuổi thọ trung bình 10 – 15 năm nếu được thực hiện bởi phòng nha có thiết bị hiện đại, bác sĩ tay nghề cao và bạn chăm sóc răng tốt.
- Ít tác động đến răng thật:Khi thực hiện dán sứ, bạn phải mài rất ít mô răng nên không làm tổn hại đến răng. Bên cạnh đó, phương pháp này ít gây nên tình trạng chết tủy và hiếm khi phải chữa tủy.
- Đảm bảo chức năng ăn nhai:Để dán sứ veneer, bác sĩ chỉ mài ở mặt ngoài của răng một chút của, mô răng ít bị tác động. Do đó, vấn đề ăn nhai của bạn sẽ không bị ảnh hưởng.
=> Phương pháp dán sứ veneer giúp hạn chế tối đa tình trạng ê buốt răng vì không xâm lấn đến tủy răng và không phải loại bỏ nhiều mô răng.
- Các hình ảnh khách hàng đến với Nha Khoa Phan Gia để tìm lại nụ cười tự tin cho chính mình. Khách hàng hài lòng chính là niềm tự hào cho Nha Khoa Phan Gia.
QUY TRÌNH LÀM RĂNG VENEER TẠI NHA KHOA PHAN GIA
- Bước 1 – Khám với Bác sĩ và chụp phim Xray: Ở bước này, Bác sĩ sẽ đánh giá tình trạng răng hiện tại của bạn như màu sắc, dáng răng để có kế hoạch điều trị phù hợp. Qua chụp phim, Bác sĩ cũng biết được răng có từng điều trị tủychưa. Nếu rồi thì sẽ không dán sứ veneer được mà phải bọc răng sứ.
- Bước 2 – Thiết kế kỹ thuật số: Từ những dữ liệu răng thu thập được, Bác sĩ tiến hành phác thảo kế hoạch, lựa chọn màu răng và thiết kế dáng răng cho phù hợp với nét đẹp tự nhiên của khuôn mặt.
- Bước 3 – Tiến hành mài răng và gắn răng tạm: Sau khi bạn đồng ý với kế hoạch điều trị từ Bác sĩ, Bác sĩ sẽ tiến hành mài các răng cần điều trị và gắn răng tạm để sử dụng và đảm bảo yếu tố thẩm mỹ trong khi chờ răng veneer sau cùng.
- Bước 4 – Dán răng sứ veneer: Khi những chiếc răng veneer đã được chế tác hoàn tất, Bác sĩ sẽ sử dụng một loại gel đặc biệt để dán dính lên răng, mang đến cho bạn nụ cười mới rạng rỡ.
- Bước 5 – Kiểm tra và chỉnh khớp: Trong 1-3 ngày sau khi gắn răng, bạn sẽ quay lại phòng khám để Bác sĩ kiểm tra và chỉnh lại khớp cắnnếu cần. Đây là bước rất quan trọng giúp bạn không bị cảm giác cộm khi cắn, giao tiếp và đặc biệt tránh được tình trạng vỡ sứ, kéo dài thời gian sử dụng.
Chị Bích Ly năm nay 36 tuổi và ở Rạch Giá Kiên Giang đã tìm thấy vị cứu tinh cho nụ cười của mình khi đến với Nha Khoa Phan Gia, trước đây răng chị đã từng làm răng sứ và bị nhiễm kim loại rất nhiều làm chị luôn phải e ngại khi giao tiếp với mọi người xung quanh, nhưng bây giờ chị ấy đã cười thật tự tin tạo thêm động lực cho Nha Khoa nhiều hơn nữa.
![]() |
![]() |
![]() |

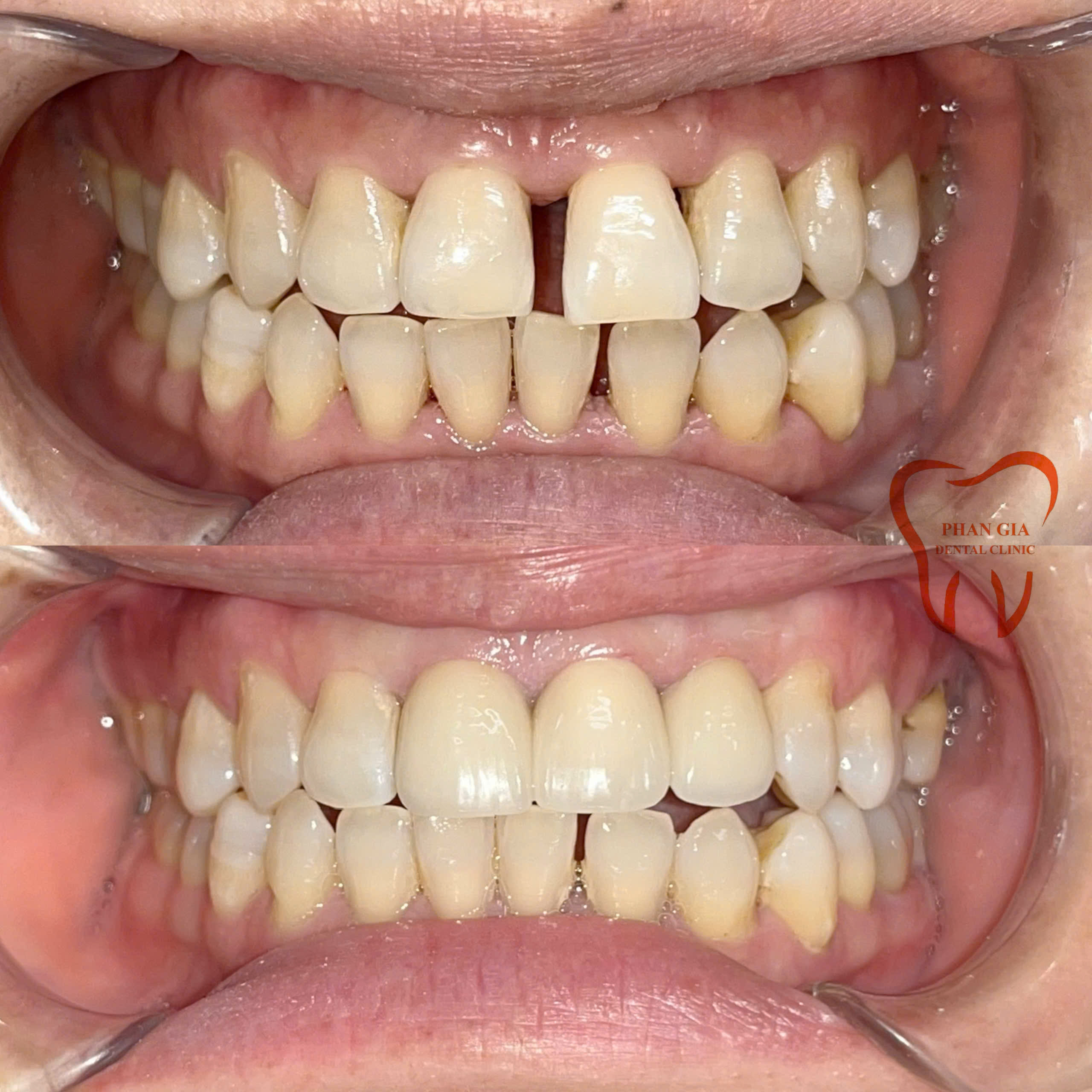
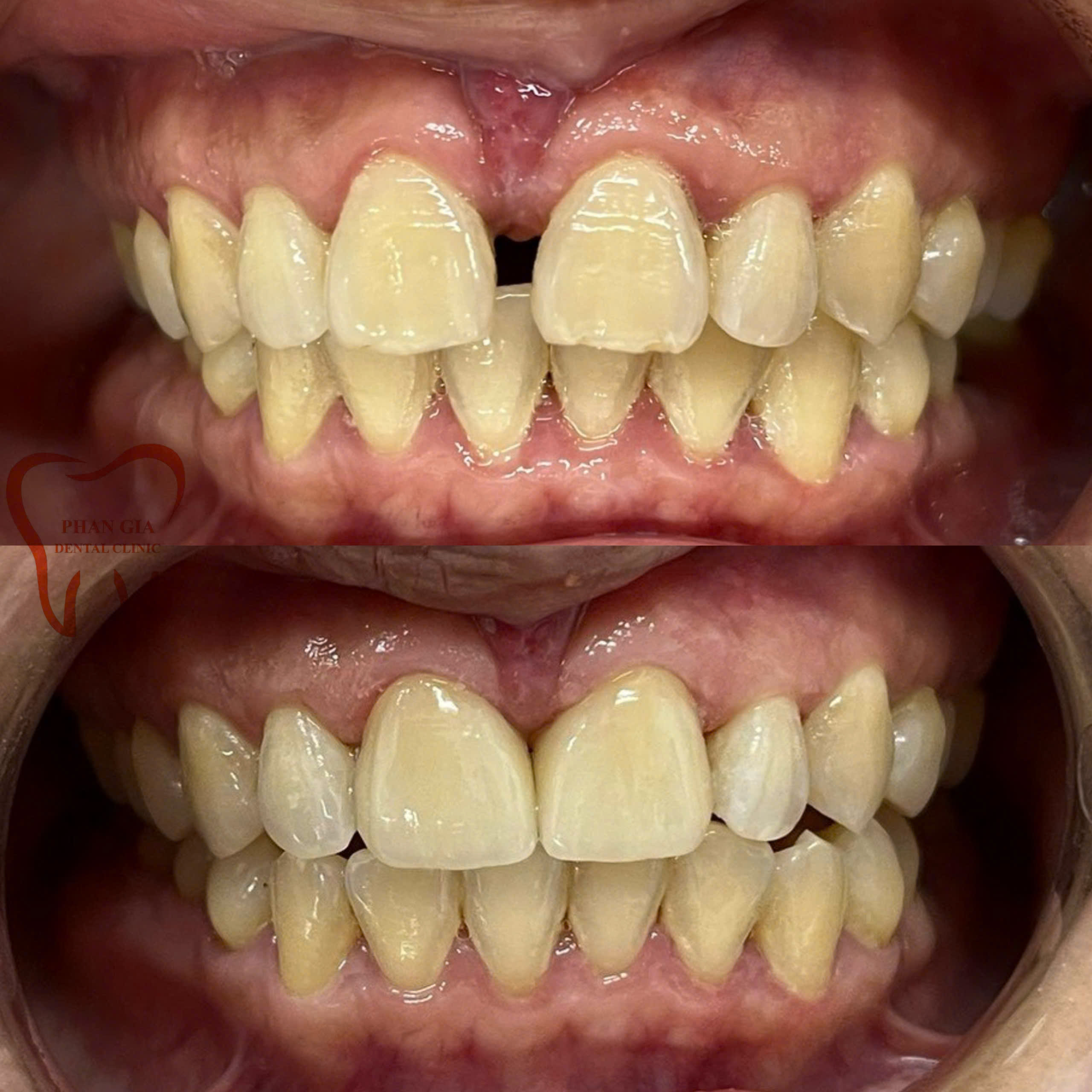
Chị Diệp sống tại Rạch Giá đến với Nha Khoa Phan Gia và mong muốn thay đổi nụ cười của mình trong trẻ trung hơn và tươi sáng hơn, do răng chị không đều màu, ngã vàng và đôi chút lệch lạc.
![]() |
![]() |
![]() |
![]() |
Chị Kha đến từ An Biên 32 tuổi với nụ cười hạnh phúc
Nụ cười không chỉ là biểu hiện vui vẻ và hạnh phúc của chúng ta mà còn phản ánh rõ nét nhất về cái nhìn của mọi người xung quanh đối với chúng ta. Đặc biệt là khi nụ cười tươi sáng rạng rỡ, khuôn mặt xinh đẹp của chúng ta sẽ được khắc họa đến mức tuyệt đẹp, từ đó tạo nên một ấn tượng khó phai trong lòng người đối diện

![]() |
![]() |
![]() |
Chị Phụng sống tại rạch giá, hiện trạng trước khi làm răng của chị bị ngã vàng nhiều và có phần bị nha chu làm chị thiếu tự tin và được nhiều người khuyên đi làm răng, chị đã chọn Nha Khoa Phan Gia là nơi chị gửi gắm niềm tin vào, Phan Gia cũng không làm chị thất vọng – sau khi làm răng nụ cười chị đã thay đổi rất nhiều, trẻ trung và tươi tắn hơn, chị đã lấy lại sự tự tin khi giao tiếp với mọi người.

![]() |
![]() |
Anh Khánh năm nay 32 tuổi răng anh hầu như đã bị nha chu toàn bộ, răng sứ là sự lựa chọn ưu tiên của anh. Anh đã tìm đến Nha Khoa Phan Gia để bắt đầu quá trình điều trị từ nha chu đến phủ sứ và anh đã rất hài lòng. Sau khi kết thúc anh đã cười thật tươi không còn khuyết điểm nào nữa.

![]() |
![]() |
VENEER PHỤC HÌNH THẨM MỸ, RĂNG Ố VÀNG
![]() |
![]() |
![]() |
![]() |
![]() |
VENEER ĐÓNG KÍN KHE THƯA
![]() |
![]() ![]() ![]() |





























