TRỒNG RĂNG IMPLANT – GIẢI PHÁP PHỤC HÌNH SỐ 1 CHO NGƯỜI MẤT RĂNG
Cấy ghép Implant là gì? Những trường hợp nào nên cấy ghép Implant?
IMPLANT một loại vít nhỏ có kích cỡ tương tự như chân răng thật với chất liệu Titanium – một loại vật liệu có khả năng tương thích sinh học với xương.
KỸ THUẬT CẤY GHÉP IMPLANT là kỹ thật trồng răng giả hiện đại và tiên tiến với cách làm cấy ghép một chân răng giả bằng Titanium ( trụ implant) vào xương hàm ngay tại vị trí bị mất răng. Từ đó, hình thành một chân răng nhân tạo rồi làm răng sứ gắn lên chân răng nhân tạo mục đích để thay thế toàn bộ cây răng đã bị mất để phục hồi chức năng ăn nhai của 1 cây răng thật.
![]() |
![]() |
implant được cấy ghép vào xương hàn thay thế chân răng bị mất
NHỮNG TRƯỜNG HỢP ĐƯỢC CHỈ ĐỊNH CẤY GHÉP IMPLANT
- Bệnh nhân mất răng có nhu cầu làm răng cố định mà không cần mài răng thật;
- Người bị mất răng nhưng không muốn dùng hàm tháo lắp
- không đủ sức để làm cầu răng dài – đặc biệt là trong trường hợp bị mất nhiều răng, ít trụ đở nhưng khoảng trống lại nhiều;
- Người bệnh có nhu cầu làm răng giả nhưng muốn bảo tồn, không gây tiêu xương hàm ở những vùng răng đã mất đi.
![]() |
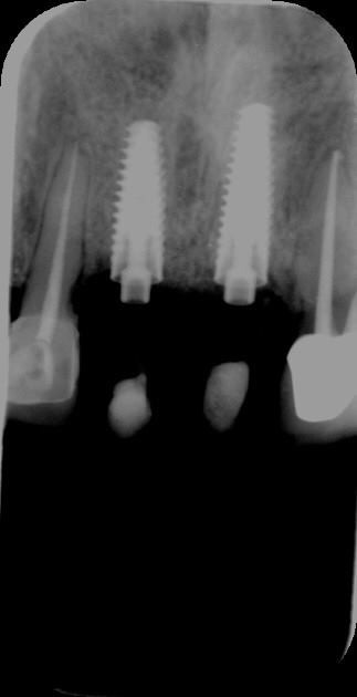
![]() |
Hình ảnh trong miệng và X-quang của khách hàng làm cầu răng sứ trên implant
Chống chỉ định cấy ghép implant với các trường hợp:
- Phụ nữ mang thai;
- Người bệnh tiểu đường không được kiểm soát;
- Trẻ em dưới 17 tuổi;
- Người bệnh đang có viêm nhiễm tiến triển ở vùng đặt Implant.
Bên cạnh đó, một số trường hợp nên cân nhắc cấy ghép Implant :
- Người mắc một số bệnh lý mãn tính nguy hiểm như bệnh tim mạch, huyết áp;
- Người có thói quen giữ gìn vệ sinh răng miệng không tốt;
- Bệnh nhân không hợp tác với bác sĩ trong quá trình điều trị;
- Người nghiện rượu bia, thuốc lá;
- Bệnh nhân đã thực hiện xạ trị xương hàm.
ƯU ĐIỂM CỦA VIỆC TRỒNG RĂNG IMPLANT
Răng Implant an toàn, lành tính
Đặc tính an toàn của chân răng giả. Vì trụ Implant phải đặt trực tiếp vào xương hàm nên yêu cầu cao về độ lành tính, an toàn với cơ thể con người.
Các loại trụ Implant hiện nay đều được chế tác từ Titanium nguyên chất. Đây là một hợp chất kim loại được phép sử dụng trong y tế và không gây độc hại gì cho con người. Trong môi trường khoang miệng hay trong xương hàm, trụ Implant hoàn toàn ổn định và khả năng tương thích sinh học cao.
Cắm Implant – giải pháp đạt thẩm mỹ cao
Với răng Implant, người bệnh hoàn toàn có thể yên tâm về hiệu quả thẩm mỹ sau phục hình. Bởi đây là phương pháp trồng răng giúp phục hình răng giả tương tự như răng thật, có hình dáng và màu sắc khó phân biệt với răng gốc.
Cấy ghép Implant phục hồi chức năng ăn nhai tối ưu
Vì phần chân răng giả được đặt bền vững trong xương hàm nên răng Implant có khả năng chịu lực tốt. Không bị hạn chế khi ăn nhai, có thể ăn các thức ăn cứng, dai như răng thật.
Ngăn ngừa tiêu xương hàm – Ưu điểm vượt trội của trồng răng Implant
Biến chứng tiêu xương hàm, tụt lợi thường xảy ra sau một vài tháng mất răng khi không trồng răng giả. Với các trường hợp làm cầu răng sứ hay hàm giả tháo lắp cũng không thể ngăn ngừa được tình trạng này.
Cấy ghép Implant là phương pháp duy nhất giúp ngăn chặn biến chứng tiêu xương cùng nhiều vấn đề răng miệng khác sau mất răng. Hạn chế được tình trạng xô lệch răng, lệch khớp cắn, lão hóa sớm. Đây chính là ưu điểm khi trồng răng Implant cực quan trọng, ảnh hưởng đến sức khỏe về lâu dài mà bạn cần cân nhắc.
Trồng răng độc lập, không xâm lấn răng khác
Nếu nhược điểm của cầu răng sứ là phải mài răng 2 răng kế cận để làm trụ răng nâng đỡ cầu răng thì Implant thực hiện hoàn toàn độc lập tại vị trí mất răng. Nhờ đó mà trồng răng Implant giúp bảo tồn răng thật hiệu quả, không gây hại cho các răng kế cận răng mất.
Tuổi thọ lâu dài
Răng Implant được đánh giá cao về tuổi thọ sử dụng lâu bền. Trung bình một ca trồng răng Implant có thể sử dụng tới 25 năm, thậm chí vĩnh viễn nếu được chăm sóc tốt. Hạn chế được tình trạng can thiệp nhiều lần như các phương pháp khác.
QUY TRÌNH THỰC HIỆN CẤY GHÉP IMPLANT TẠI NHA KHOA PHAN GIA
- Khám tư vấn, chụp X-quang và lên kế hoạch điều trị cụ thể
- Xét nghiệm máu và kiểm tra sức khỏe đảm bảo trước khi tiến hành cấy ghép
- Thực hiện thủ thuật cấy ghép trụ implant
- Tái khám và kiểm tra lành thương sau 5-7 ngày
- Lấy dâu làm phục hình sứ trên implant sau 3-6 tháng
- Gắn sứ lên implant sau 3-5 ngày
- Thăm khám, kiểm tra định kỳ 3-6 tháng

Hình ảnh minh họa hoàn thiện case cấy ghép implant và làm cầu rcầg trên implant
HÌNH ẢNH CỦA MỘT SỐ KHÁCH HÀNG IMPLANT NHA KHOA PHAN GIA
Khách hàng ngoại quốc tin tưởng và lựa chọn nha khoa PHAN GIA để tiến hành cấy ghép 2 trụ Implant và làm răng trên Implant thay thế cho răng cối đã mất. Sau thời gian hoàn thiện răng sứ trên implant khách hàng đã quay lại tái khám và cho feedback cực tốt cho nha khoa

Chú QUỐC PHÙ đến với PHAN GIA trong tình trạng răng bị lung lay đã phải nhổ bỏ hết hàm . Với nhu cầu làm hàm tháo lắp nhưng do lần đầu sử dụng hàm tháo lắp nên không quen, khó ăn nhai,cảm giác nhai không thật… Muốn vừa tiện vừa tiết kiệm cho chú bác sĩ đã tư vấn chú cắm 2 trụ implant để làm bệ đở vừa sử dụng được hàm tháo lắp vừa giúp giữ vững hàm tháo lắp hơn, ăn nhai mạnh dạn và lực nay cũng tốt hơn.
Sau khi giao hàm hoàn thiện chú có chia sẻ:
“ Ăn nhai được lắm, hồi trước không dám nhai đồ cứng bây giờ nhai xương được luôn, ăn được hết á”
Cám ơn chia sẻ hết sức nhiệt tình và chân thật của chú Nha Khoa PHAN GIA sẽ lấy đó làm động lực để thực hiện tốt hơn và tốt nhất có thể các trường hợp giống như chú
![]() |
![]() |
![]() |
Chị khách BÍCH LY tìm lại được nụ cười tươi sáng sau bao ngày tháng mất tự tin do trước đây chị đã làm răng sứ toàn hàm, một thời gian vô tình bị viêm nướu gây tiêu xương phải nhổ bỏ vị trí răng 31,41,42 nên chỉ còn cách ghép xương cắm implant mới có thể giúp chị bù đắp lại phần xương đã bị tiêu và cắm implant thay thế răng đã nhổ. Và kết quả sau 9 tháng cấy ghép implant xương đã tích họp, implant đã vũng chắc và bám chặc vào xương thì đã hoàn thành phục hình tìm lại nụ cười hotgirl ngày ấy
![]() |
![]() |
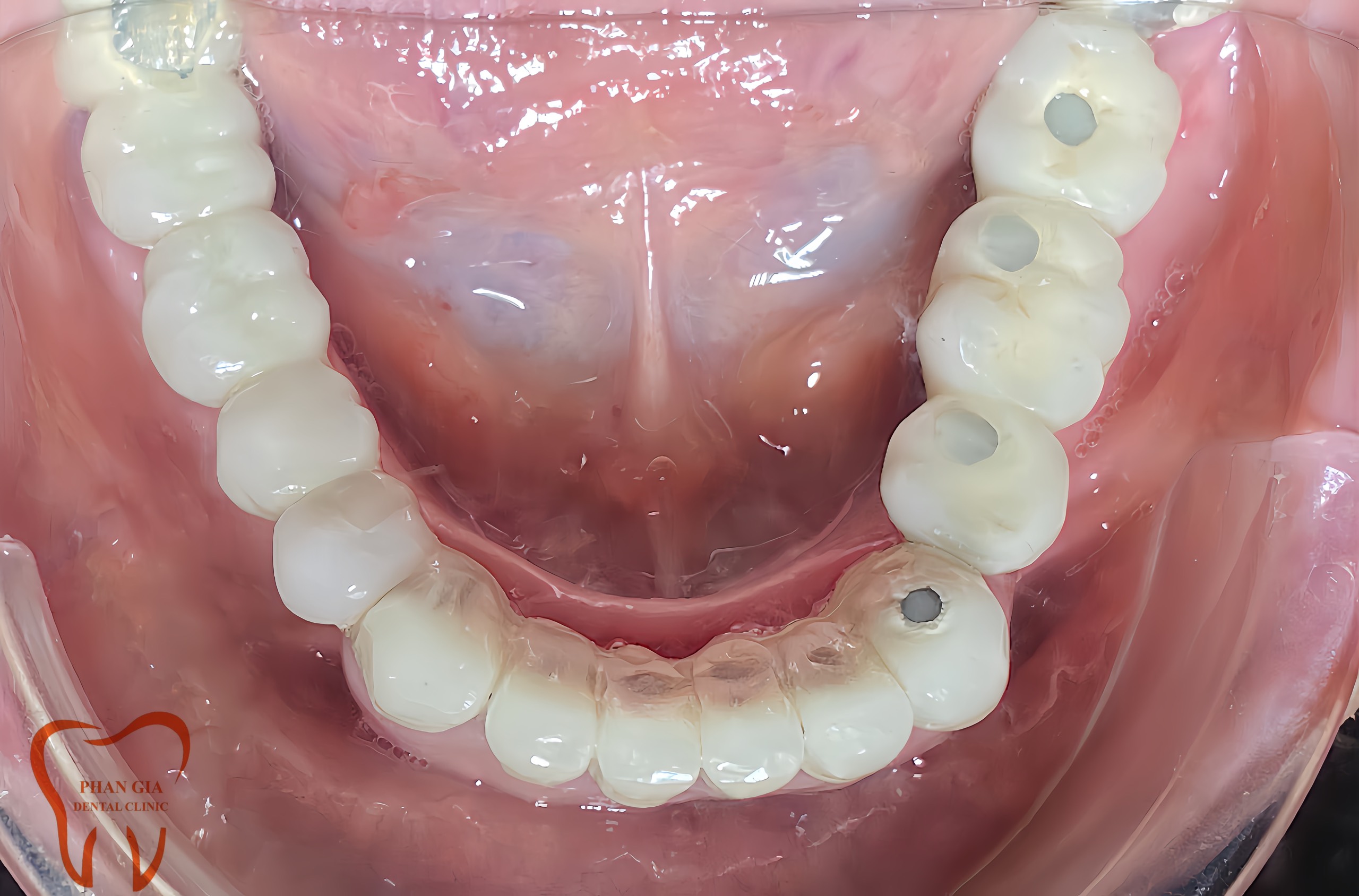
Chú Q một case viêm nha chu vùng răng cối phân hàm 2 và 4 gây tụt nướu lộ chân răng, răng lung lay nhiều bắt buột phải nhổ bỏ . Khi nhổ đi dĩ nhiên không còn răng ăn nhai nữa, với tư tưởng không đeo hàn tháo lắp, muốn lựa chọn phương pháp phục hình cố định chú đã chốt đơn 6 trụ implant để làm lại răng đã mất phục hồi lại chức năng ăn nhai của răng hàm.
![]() |
![]() |
Khách hàng Việt Hồng, trường hợp chị Hồng trước đây bị răng sâu vỡ lớn không thể giữ lại và 1 số R bị viêm nha chu, tụt nướu lộ chân R bắt buột phải nhổ. Bác sĩ tư vấn chị nên trồng lại các răng đã bị mất để có thể ăn nhai thoải mái trở lại do răng hàm trên của chị vẫn còn và chị vẫn còn trẻ.
Đặt hết niềm tin vào trình độ và tay nghề của đội ngũ Bác sĩ tại PHAN GIA chị quyết định lựa chịn cắm mỗi bên phân hàm 2 trụ implant rồi làm răng sứ lên đó để có răng ăn nhai trở lại.
![]() |
![]() |
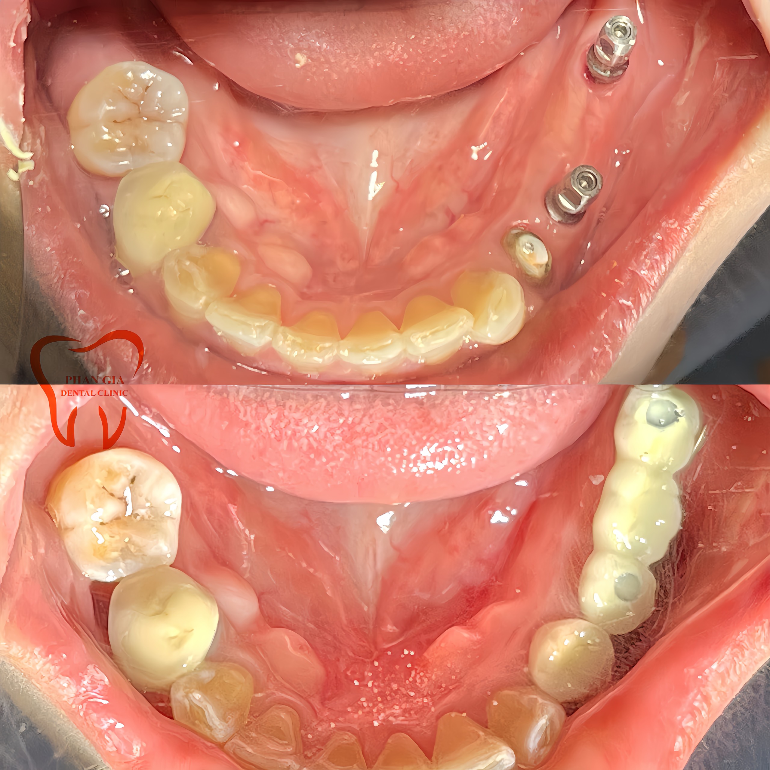
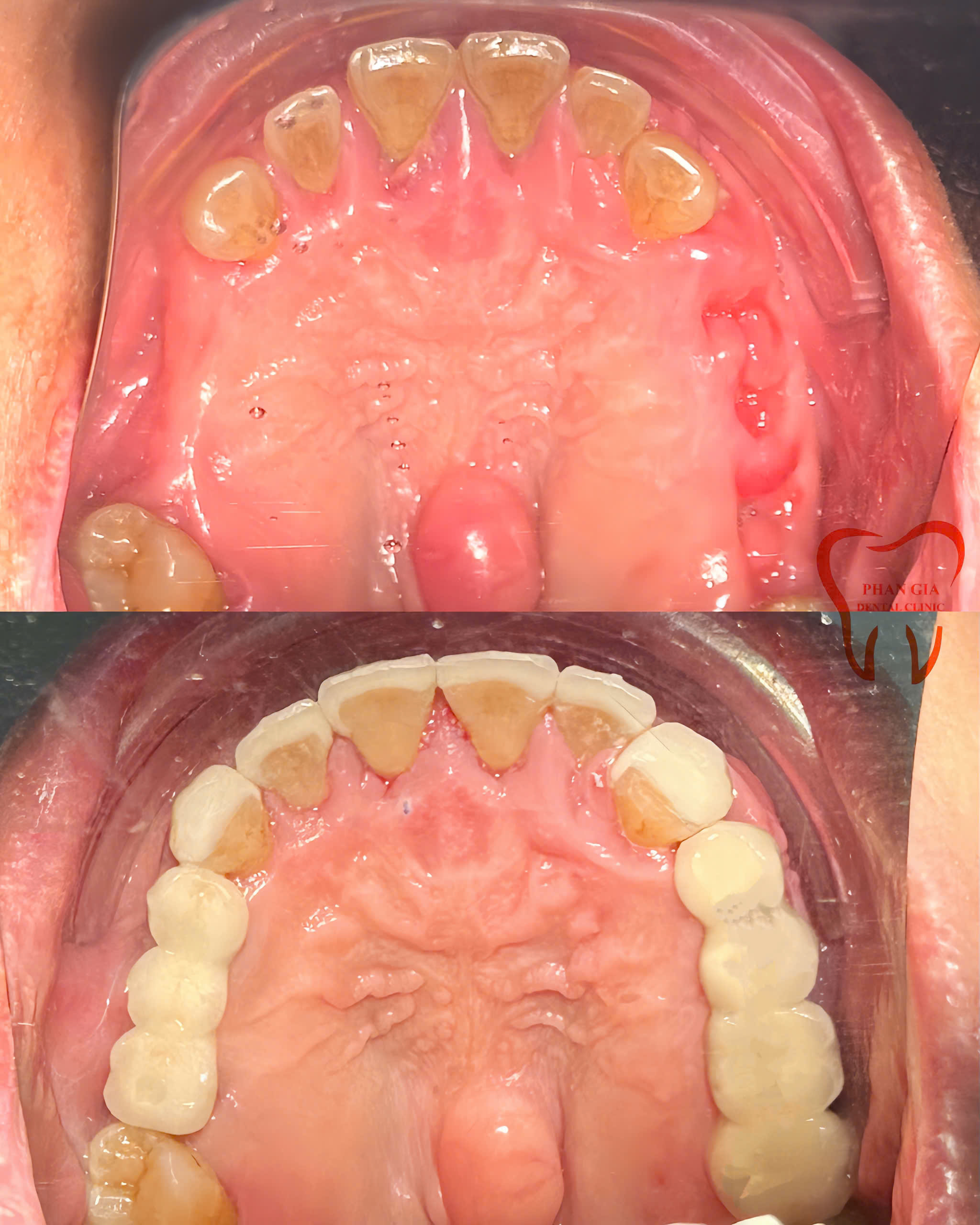
Chú THÙY một trường hợp có kinh nghiệm sử dụng 2 phương pháp phục hình chất lượng nhất hiện nay: Làm cầu răng Full Sứ và cầu răng Sứ Trên Implant. Trước đây chú đã làm cầu 3 răng sứ hàm dưới tại nha khoa PHAN GIA, lâu dài răng hàm trên của chú cũng bắt đầu gặp vấn đề một số vị trí, bác sĩ đã tư vấn cho chú nên cắm implant rồi làm cầu răng sứ trên implant sẽ sử dụngbền và chắc chắn hơn .Tin tưởng các bác sĩ của PHAN GIA chú THÙY lựa chọn cắm implant và làm cầu răng sứ trên implant cho hàm trên của chú.
Sau làm răng chú chia sẻ: “ Ăn nhai khỏe lắm, nhai đồ dai đồ cứng gì được hết á”
![]() |
![]() |
![]() |
![]() |
![]() |
![]() |
![]() |
![]() |
![]() |
![]() |
![]() |
![]() |
![]() |
![]() |
![]() |
![]() |
![]() |
![]() |
![]() |
![]() |
![]() |
![]() |
![]() |
![]() |
![]() |
![]() |
![]() |
![]() |
![]() |
![]() |
![]() |
![]() |
![]() |
![]() |
![]() |
![]() |
![]() |
![]() |
![]() |
![]() |
![]() |
![]() |
![]() |
![]() |
![]() |
![]() |
![]() |
![]() |
|
|
![]() |
![]() |
![]() |
![]() |
![]() |
![]() |
![]() |
![]() |
![]() |
![]() |
|
|
![]() |
![]() |
![]() |
![]() |
![]() |
MỌI NGƯỜI LƯU Ý: Bảo vệ hàm răng cũng là bảo vệ sức khỏe cho chính mình. Vì vậy hãy thường xuyên đến nha khoa để kiểm tra răng và vệ sinh răng đúng cách nhé!


















































































